首页 > 新闻 > 正文
牙结石洗牙多少钱(牙缝里有牙结石,洗牙要7百多,贵吗)

 2022-08-31 08:56  阅读 5

摘要:一般在医院洗牙100~500,牙结石较多,洗的时间也久,都会贵一些,另外私人诊所收费也不同,其实洗牙相当于给每颗牙齿洗一次澡,主要是震碎龈上的牙结石,包括牙缝都能冲洗干净,

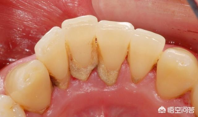
一般在医院洗牙100~500,牙结石较多,洗的时间也久,都会贵一些,另外私人诊所收费也不同,其实洗牙相当于给每颗牙齿洗一次澡,主要是震碎龈上的牙结石,包括牙缝都能冲洗干净,你这种很可能是牙周炎,说明牙龈内还有残留物,具体得测牙周袋深度。

那为什么洗完牙缝变大了?

1、因为你洗晚了,牙结石多到占领你的牙缝,原本就被撑开了,而且牙龈肿胀,洗完炎症消退,自然就会呈现被破坏后的状态,并不是洗牙导致的,牙结石还会让牙槽骨吸收,牙齿松动,当演变成慢性炎症,严重牙齿将脱落。

2、想要让牙缝变小,就得先控制牙周炎,洗牙只是第一步,虽说不能治愈,但起码也是牙周基础治疗,牙周袋较深还得局部麻醉,进行龈下刮治,才能彻底清除牙结石,如果还未好转得牙周翻瓣手术,恢复稳定后,可以正畸关闭缝隙。

洗牙才几十元,这种靠谱吗?

1、一定要去正规医院或诊所,不能贪图便宜,有些设施较差,消毒不过关,很容易存在隐患,像街头小巷那些摆摊的人,还没半个钟就洗完,实际上洗得不干净,牙菌斑容易堆积,钙化速度越快,就会结团形成牙结石。

2、当然也有手工洁牙,就会相对便宜些,但已经被超声波洗牙替代,洗一次差不多要半个钟到一个钟,不用打麻药,过程基本不会很痛,牙结石较多才会,像牙周刮治,清除比较费劲,还得2~3次刮完,而且痛感强烈,不过牙龈出血会减少很多。

你说的洗牙700多,确实有些贵,但能让牙齿干净,预防慢性牙周炎,也很值得。

欢迎关注【烧哥口腔社】,烧哥牙医来回答你的洗牙问题!

关键字: 少钱 / 洗牙 / 结石 / 贵吗 / 牙缝 / 百多 / 
进博会展会质量持续提高(消费万花筒) 提升核心竞争力培育更多专精特新“小巨人” 轻舟智航+地平线=中国“算法”+“芯片”自动驾驶规模化协同的 财经百科:什么是区块链 专家:提升服务实体经济质效金融业要构建场景实现数字化转型 谷歌发布安卓系统重要更新修复多个严重漏洞 新华全媒+2022年服贸会探馆:首钢园区 麒麟电池落地车型揭晓在即!理想汽车等早已“拍板”,产业链 水利部:长江流域部分地区旱情缓解后期抗旱形势依然严峻 surfaceduo2预计搭载骁龙855搭载安卓定制系统

本站涵盖的内容、图片、视频等模板演示数据,部分未能与原作者取得联系。若涉及版权问题,请及时通知我们并提供相关证明材料,我们将及时予以删除!谢谢大家的理解与支持!


Copyright © 版权所有 | 联系方式:osnev93x5o@gmail.com